Nestled between the timeless beauty of the Bosphorus and the vibrant crossroads of Europe and Asia, Istanbul is not only a city of rich culture and history but also a global beacon for cutting-edge dental care. At the forefront of this medical renaissance is Vitrin Clinic, an Istanbul-based dental center that has mastered the complex art of subperiosteal implants paired seamlessly with Hollywood Smile aesthetics.
Dr. Rifat Alsaman, head of doctors at Vitrin Clinic, proudly describes the clinic’s mission: “In a competitive market like Istanbul’s dental tourism scene, where many offer similar services, we distinguish ourselves through unmatched expertise, innovation, and patient care. Our clinic consistently outranks competitors on platforms like Google, Trustpilot, attracting patients worldwide who seek both functional solutions and show-stopping smiles.”
Turkey’s dental tourism boom is fueled by high-quality care at accessible prices. Yet, Vitrin Clinic goes beyond affordability; it delivers world-class results in one of the most challenging areas of implantology/subperiosteal implants combined with the artistry of Hollywood Smile makeovers.
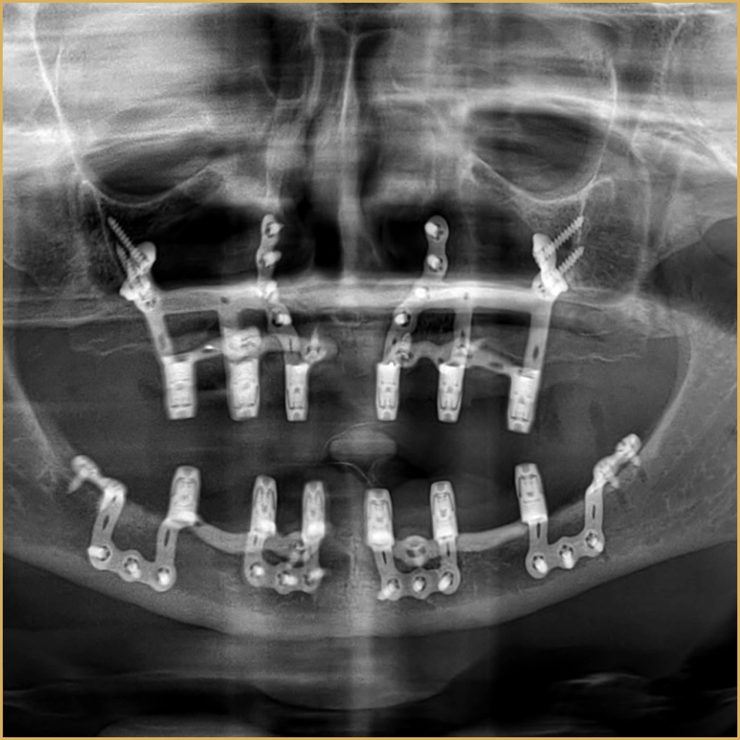
Subperiosteal Implants: A Game-Changer for Complex Cases
Traditional dental implants require sufficient jawbone density, leaving many patients with severe bone loss with limited options. Subperiosteal implants offer a revolutionary alternative, fitting a custom metal framework directly atop the jawbone beneath the gum line to support prosthetic teeth.
“This is a highly specialized procedure,” Dr. Alsaman explains. “Many clinics hesitate to offer it because it demands precise surgical skill and advanced digital technology. At Vitrin Clinic, we’ve perfected this technique. Our use of three-dimensional imaging and patient-specific metal frameworks ensures stability and long-term success, even for cases considered untreatable elsewhere.”
Hollywood Smiles: Beyond Function to Flawless Form
Once the solid foundation of subperiosteal implants is in place, Vitrin Clinic elevates the treatment with personalized Hollywood Smile restorations. “The beauty of our approach is that patients never have to sacrifice aesthetics for function,” Dr. Alsaman notes. “Our smile designs are meticulously crafted based on facial structure, skin tone, and personality, resulting in bright, natural-looking smiles that truly enhance each patient’s unique beauty.”
Unlike generic treatments, each Hollywood Smile at Vitrin Clinic is a bespoke creation, fabricated using premium materials that replicate the translucency and texture of natural teeth. This attention to detail consistently impresses patients and critics alike.
Standing Out in a Crowded Market
Istanbul boasts hundreds of dental clinics, many targeting international patients with competitive pricing. However, Vitrin Clinic’s track record on global review sites tells a different story. “Our Google and Trustpilot scores are among the highest in the region, reflecting real patient satisfaction,” Dr. Alsaman shares. “Our patients come from Europe, North America, and beyond. The combination of advanced technology, expert teams, and genuine care makes us a destination clinic.”
Transparency and comprehensive care are pillars of the clinic’s reputation. From the initial virtual consultation to the final fitting, every step is explained clearly, ensuring patients understand the process, costs, and expected outcomes.
Cost Efficiency Without Compromise
One major factor drawing patients to Istanbul is the cost advantage. Vitrin Clinic offers combined subperiosteal implant and Hollywood Smile treatments ranging from $9,000 to $20,000 — a fraction of prices in the US or Western Europe. For those researching treatment options, this Cost of Dentures in Turkey guide provides transparent insights and helps patients compare procedures before traveling..
“Despite the competitive pricing, our quality never wavers,” says Dr. Alsaman. “We invest heavily in technology and materials, and our expert team undergoes continuous training to remain at the forefront of the field. Patients receive premium care without hidden fees or compromises.”
A Holistic, Patient-Centered Experience
Vitrin Clinic is more than a dental clinic; it’s a full-service experience designed for international patients. Located in the heart of Istanbul, the clinic provides airport transfers, translation services, and local support, making the treatment journey smooth and stress-free.
“Many patients tell us that their experience with Vitrin Clinic exceeded their expectations, not only because of their new smile but due to the warmth and professionalism of our team,” Dr. Alsaman remarks. “We understand that traveling for dental treatment can be daunting, and we strive to create a welcoming environment where patients feel cared for every step of the way.”
Cutting-Edge Technology Fuels Precision
The clinic’s investment in advanced technology is key to its success. Cone beam computed tomography (CBCT) delivers ultra-detailed 3D images of the jawbone, allowing precise planning of the subperiosteal implant framework. Digital smile design software enables patients to visualize their future smile before any procedure begins.
“Our in-house lab allows for rapid adjustments and premium fabrication, reducing turnaround times and enhancing accuracy,” Dr. Alsaman explains. “The integration of these technologies means fewer surprises and higher success rates.”
A Collaborative Team of Specialists
Vitrin Clinic’s multidisciplinary approach is another factor that sets it apart. Oral surgeons, prosthodontists, and cosmetic dentists collaborate closely on each case to ensure every aspect from structural integrity to visual harmony is meticulously addressed.
“We don’t just treat teeth; we transform lives,” Dr. Alsaman says. “Our patients leave not only with restored function but with renewed confidence and a smile they’re proud to show the world.”
Proven Long-Term Success and Global Trust
With a decade-long success rate exceeding 90% for subperiosteal implants combined with high-quality restorations, Vitrin Clinic’s results speak volumes. Testimonials from international patients praise the clinic’s expertise, transparent communication, and the life-changing impact of their new smiles.
“Many had been told elsewhere that implants weren’t an option,” Dr. Alsaman shares. “At Vitrin Clinic, we turn that ‘no’ into a ‘yes’ , a beautiful, lasting solution that transforms not only oral health but quality of life.”
Begin Your Journey in Istanbul
For prospective patients considering this advanced dental care, Vitrin Clinic offers virtual assessments to review dental history, current challenges, and aesthetic goals. “We provide preliminary treatment plans and transparent quotes to help patients make informed decisions from anywhere in the world,” Dr. Alsaman emphasizes.
Typically, patients spend seven to ten days in Istanbul for initial procedures, followed by a shorter return visit for final restorations, allowing for optimal healing with minimal disruption to daily life.
About Vitrin Clinic
Vitrin Clinic is a premier Istanbul-based dental center specializing in advanced implantology, cosmetic dentistry, and complex full-mouth rehabilitation. Renowned for combining innovative technology, expert craftsmanship, and personalized care, the clinic serves patients worldwide seeking exceptional dental transformations in the vibrant heart of Turkey. For more information, visit vitrinclinic.com.
Media Contact
Furkan Lüleci
asset@flcommunications.co.uk




